Image of a pituitary tumor in human body.
Patient Resources

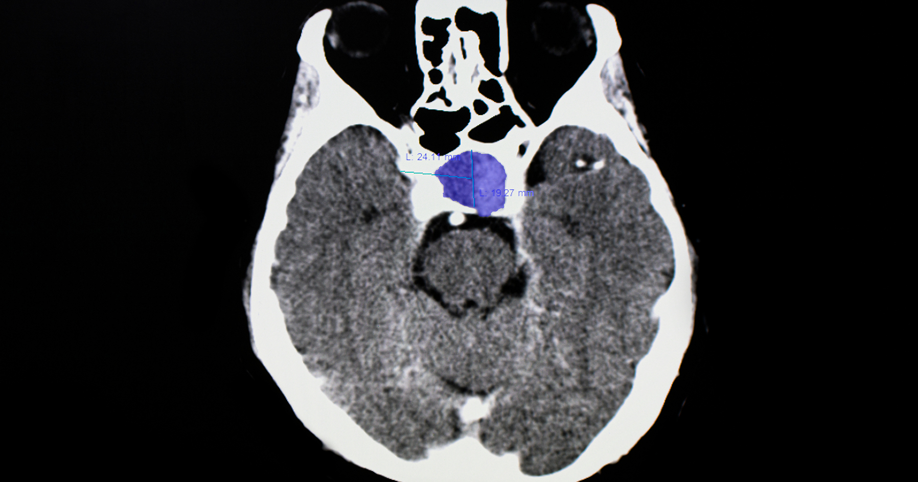
Pituitary Tumors

January 24, 2022

The most common type of pituitary disorder is a pituitary gland tumor. They are not brain tumors and are almost always benign (non-cancerous); cancerous pituitary tumors are extremely rare. 

There are two types of tumors—functioning and non-functioning. Functioning tumors produce too much of a hormone normally made by the pituitary, and non-functioning tumors do not. Both types of tumors can cause problems if they are large and interfere with normal function of the pituitary gland and/or put pressure on nearby structures in the brain. 

Endocrine Connection 

The pituitary gland is a tiny organ, the size of a pea, found at the base of the brain. As the “master gland” of the body, it produces many hormones that travel throughout the body, directing certain processes or stimulating other glands to produce other hormones. The pituitary gland makes or stores many different hormones.  

After evaluating your symptoms, your doctor will order blood tests to measure hormone levels. Your doctor will also order an MRI (magnetic resonance imaging) scan to look at the pituitary and other structures around it. If a pituitary tumor is found, more blood tests will be done to find out what type of tumor it is. Your doctor needs to know the type of tumor to plan treatment. Testing may also be needed to see if the tumor is affecting your vision. 

The problems caused by pituitary tumors fall into three general categories: 

Hypersecretion: too much of any hormone in the body is caused by a functioning pituitary tumor 

Hormone deficiency: too little of any pituitary hormone can be caused by a large pituitary tumor, which interferes with the pituitary gland’s ability to produce hormones. Hypopituitarism can also result from pituitary surgery or radiation of a tumor 

Tumor mass effects: as a pituitary tumor grows and presses against the pituitary gland or other areas in the brain, it may cause headaches, vision problems, or other health effects. 

Symptoms of pituitary tumors vary depending on whether they are caused by the tumor mass or hormonal changes (either too much or too little hormone). The symptoms also vary from person to person. The list of possible symptoms is long. Symptoms of tumor mass pressure can include headaches and trouble seeing, especially problems with peripheral vision. Symptoms of low pituitary hormones include fatigue, dizziness, dry skin, irregular periods in women, and sexual dysfunction in men. 

Other symptoms depend on the hormone that is affected. ACTH-producing tumors can cause Cushing's disease. Growth hormone-producing tumors can cause acromegaly. Prolactin-producing tumors (prolactinomas) can cause irregular or absent menstrual periods in women. They can also cause a woman's breasts to make milk, even if she's not pregnant. In men, these tumors can cause sexual dysfunction and breast enlargement. These conditions can have serious health risks.

Treatment depends on the type of tumor, how large it is, what symptoms it is causing, and your age and your overall health. Your doctor will work to find the best treatment option for you. Some types of tumors can be treated with medication alone or can be observed over time for any changes. Other types of tumors require surgery, or a combination of treatments, including radiation therapy. If you think you might have a problem with your pituitary gland, you should see a specialist. An endocrinologist is an expert in hormone-related conditions who can diagnose and treat your condition.

  • What kind of tumor do I have? 
  • How will my tumor affect my health? 
  • What treatment do I need for it? 
  • What are the risks and benefits of each of my treatment options? 
  • Should I see an endocrinologist? 
  • What medication do I need to take for my prolactinoma? 
  • What are the side effects of the medication? 
  • How long will I need to take medication, will I be able to stop it in the future? 
  • Should I take a dopamine agonist if I am planning pregnancy? 
  • What should I do in case of pregnancy? 
  • How often do I need an MRI scan? 
  • How often do I need blood tests? 
  • How is my pituitary function? Do I need to take any hormones? 
  • Can I take a birth control pill with my medications? 
  • Are my headaches caused by my tumor? 
  • Does my pituitary tumor make any hormones? 
  • Do I need surgery? What if I do not have surgery? 
  • Does the surgeon I am referred to specialize in pituitary surgery? 
  • What should I expect after pituitary surgery? 
  • Will I need radiation therapy? 

Functioning Pituitary Tumors

Functioning pituitary tumors produce too much of a hormone normally made by the pituitary gland. Functioning pituitary tumors and the conditions they cause include:

After evaluating your symptoms, your doctor will order blood tests to measure hormone levels. Your doctor will also order an MRI (magnetic resonance imaging) scan to look at the pituitary and other structures around it. If a pituitary tumor is found, more blood tests will be done to find out if your tumor is making too much of a specific hormone. Your doctor needs to know the type of tumor to plan treatment. Testing may also be needed to see if the tumor is affecting your vision. 

A prolactinoma is the most common secretory tumor, accounting for about 40% of pituitary tumors. This tumor produces too much prolactin, the hormone that causes milk production, also called hyperprolactinemia. Prolactinomas affect both men and women with now known cause. While milk leaking from breasts is one of the symptoms of a prolactinoma in women, and occasionally in men, there are many other signs of this kind of tumor. 

Symptoms include: 

  • Changes in menstrual cycle (skipping periods or complete loss of periods) 
  • Headaches 
  • Infertility in women and men  
  • Vaginal dryness or pain during intercourse 
  • Reduced sex drive in women and men 
  • Erectile dysfunction —the inability to get or maintain an erection 
  • Osteoporosis or bone loss 
  • Peripheral vision problems that make it hard to see well at the edges of your vision 
  • Symptoms of hypopituitarism when the tumor is large 

Prolactinoma is mostly treated successfully with drugs called dopamine agonists. This kind of drug should eliminate or reduce symptoms, lower prolactin levels and usually return them to normal, help correct the function of the pituitary, and usually reduce the tumor size. 

Dopamine agonists are taken in a form of a pill. The most common side effects are nausea and dizziness. Sometimes the medication does not work, so your doctor might recommend surgery. Radiation therapy is rarely used to treat prolactinomas. If the tumor is very small and is not growing or causing symptoms, your doctor might recommend monitoring the tumor carefully without treatment. 

Non-functioning Pituitary Tumors

Three most common types of non-functioning tumors are non-functioning pituitary adenomas, craniopharyngiomas, and Rathke's cleft cysts. There are also other types of tumors that can be found in the pituitary area. Most of them are non-cancerous. Other conditions such as inflammation and infections can affect the pituitary and could be confused with tumors in MRI images. 

Non-functioning pituitary adenoma 

While some tumors of the pituitary secrete too much of a hormones causing several health problems, other pituitary tumors do not secrete hormones. Instead, they may cause health problems because of their size and location. A non-functioning adenoma (a type of benign tumor) is one example.  Non-functioning adenomas often is found when doctors perform an MRI (magnetic resonance imaging) after a head injury or for some other reason, and they many not cause any symptoms or problems. 

Craniopharyingiomas and Rathke's cleft cysts 

These masses on or near the pituitary gland are non-cancerous growths. Although they do not arise from the hormone-producing cells of the pituitary gland, they can interfere with normal pituitary function and can cause symptoms because of their size and location. 

Craniopharyngiomas are most common during childhood but can also be found and cause problems in older adults. Rathke’s cleft cysts are usually found in adults, but often do not cause symptoms unless they grow to a large size. 

A doctor will do several blood tests to find out if there are problems with your pituitary hormones. Additional tests, called stimulation tests might be needed to check your pituitary function. They might also do tests to make sure your tumor is not making too much of any pituitary hormones; in other words, make sure you do not have a functioning tumor. 

Non-functioning pituitary adenoma 

A non-functioning adenoma may cause headaches and vision problems. This type of pituitary tumor also may affect normal pituitary function, so the pituitary does not produce enough of the hormones necessary for good health, a condition called hypopituitarism. The symptoms of non-functioning adenomas fall into two categories—tumor mass effects and hyposecretion effects. 

Tumor mass effects: 

  • Vision problems (visual field disturbances), most commonly loss of peripheral vision, at the edges of your vision range 
  • Headaches 
  • Abnormal control of eye movements, sometimes causing double vision or inability to completely open one eye.  

Lack of pituitary hormones (hypopituitarism) effects: 

 

  • Loss of appetite 
  • Weight loss or weight gain 
  • Nausea 
  • Fatigue 
  • Weakness 
  • Irregular or absent menstrual periods 
  • Hot flushes 
  • Constipation 
  • Dry skin 
  • Feeling cold   
  • Infertility 
  • Reduced sex drive 
  • Failure to get or maintain an erection 
  • Muscle and joint aches 
  • Mood changes 
  • Sleep problems 
  • Dizziness 
  • Low blood pressure 
  • Low sodium levels in blood  

 

Craniopharyngiomas and Rathke's cleft cysts 

Symptoms of craniopharyngiomas and Rathke's cleft cysts include: 

  • Growth failure in children 
  • Delayed puberty in children 
  • Obesity
  • Reduced or loss of sex drive 
  • Constipation
  • Nausea 
  • Urinating large urine volume frequently 
  • Being too thirsty and craving cold water and ice  
  • Headaches
  • Milk discharge from breasts 
  • Problems regulating body temperature 
  • Fatigue 
  • Increased drowsiness 
  • Dry skin 
  • Low blood pressure 
  • Vision problems 
  • Confusion 
  • Menstrual irregularities/loss of menstrual cycle 

Lack of pituitary hormones (or hypopituitarism) effects 

Your doctor will discuss with you whether you need pituitary surgery. Surgery is usually needed if your tumor affects your vision or threatens your vision, if it puts pressure on other nerves in your skull, if the tumor grows over time or it is believed to cause headaches.  Also, if your pituitary is not working well, many times removing the tumor can help. 

The surgery is usually transsphenoidal microsurgery and should be done by an experienced neurosurgeon. Your surgeon will reach the pituitary gland through your nose and the nasal sinuses. After surgery, vision problems improve in most people, or they can go away all together.  Sometimes, transsphenoidal surgery is not possible and the surgeon might need to reach the tumor through your scalp. If you have a large part of the tumor remaining after surgery or the tumor regrows, you may need more surgery and/or radiation therapy. 

Surgery is not always needed. If your tumor does not cause any symptoms, you and your doctor might decide following your tumor with MRI scan and your hormone levels with blood tests from time to time. 
Your doctor will do several blood tests to find out if there are problems with your pituitary hormones. Additional tests, called stimulation tests might be needed to check your pituitary function. They might also do tests to make sure your tumor is not making too much of any pituitary hormones; in other words, make sure you do not have a functioning tumor. 

Hormone replacement may be necessary to restore normal hormone levels. In some cases, the pituitary functions normally after successful surgery to remove the tumor. 

Craniopharyngiomas and Rathke's cleft cysts 

Hormone replacement may be necessary to restore normal hormone levels. In some cases, the pituitary functions normally after successful surgery to remove the tumor. Your doctor will discuss with you whether you need pituitary surgery. Surgery is usually needed if your tumor affects your vision or threatens your vision, if it puts pressure on other nerves in your skull, if the tumor grows over time or it is believed to cause headaches.  Also, if your pituitary is not working well, many times removing the tumor can help. 

The surgery is usually transsphenoidal microsurgery and should be done by an experienced neurosurgeon. Your surgeon will reach the pituitary gland through your nose and the nasal sinuses. After surgery, vision problems improve in most people, or they can go away all together.  Sometimes, transsphenoidal surgery is not possible and the surgeon might need to reach the tumor through your scalp If you have a large part of the tumor remaining or the tumor regrows, you may need more surgery and/or radiation therapy. 

Surgery is not always needed. If your tumor does not cause any symptoms, you and your doctor might decide following your tumor with MRI scan and your hormone levels with blood tests from time to time. 

Endocrine Library >>

Last Updated:
Patient Resource

Find an Endocrinologist

Multiple doctors smiling
Our physician referral directory is comprised of over 6,500 members of the Society. The referral is updated daily with clinicians who are accepting new patients.
Patient Resource

Find an Endocrinologist

Our physician referral directory is comprised of over 6,500 members of the Society. The referral is updated daily with clinicians who are accepting new patients.

Back to top

Who We Are

For 100 years, the Endocrine Society has been at the forefront of hormone science and public health. Read about our history and how we continue to serve the endocrine community.